私は
私は
私は妥協しない歯科医師です。
院長高橋 陽介

Feature
注力している診療
-
01/インプラント
-
再びご自身の歯のように
噛める喜びを。
-
02/精密根管治療
-
重度でも歯を残すことに
こだわりたい
-
03/審美歯科
-
見た目は当然、
目指すのは機能美です。


Case
症例
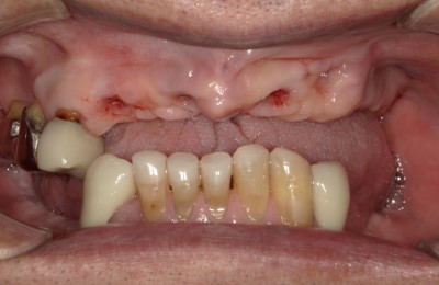
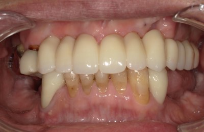
CASE01インプラント
-
Before
-
After
| 主訴 | 入れ歯以外の方法でしっかり咬みたい。 |
|---|---|
| 治療方法 | インプラントを6本埋入し、その上部をセラミックで作りしっかり咬めるようにした。 |
| 治療期間 | 約5カ月 |
| リスク | メンテナンスをしないことによるインプラント周囲炎、上部セラミックの破折。 |
| 費用 | 3,476,000円(税込) |
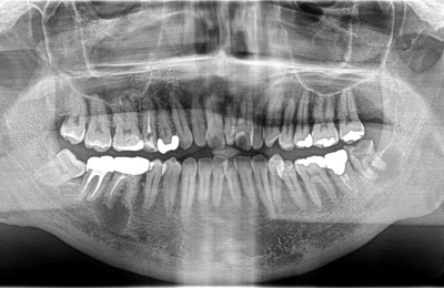
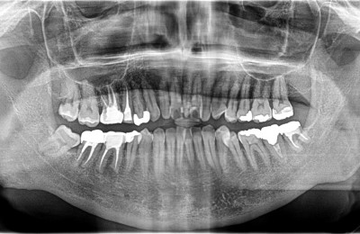
CASE02精密根管治療
-
Before
-
After
| 主訴 | 左右の奥歯の歯茎が腫れた。 |
|---|---|
| 治療方法 | 右下6番目、左下8番目の歯に大きな根尖病変(膿の袋)が認められる。また、右上6番目にも根尖病変、右上5番目に不良な根管充填が認められる。 ラバーダム防湿および拡大視野下にてそれぞれ精密根管治療を行った。 |
| 治療期間 | 約6ヶ月 (1歯あたり2~3回。治療後の経過観察期間も含める。) |
| リスク | 治療後、病変が再発したり治癒しなかった場合は外科処置が必要となる場合がある。 歯根破折が認められた場合は抜歯適応となる。 |
| 費用 | 110,000円(小臼歯)×1 132,000円(大臼歯)×3 ※被せ物の料金は別途88,000円×本数かかります。 |
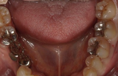
CASE03ダイレクトボンディング
-
Before
-
After
| 主訴 | できるだけ歯を削らずに銀歯を白くしたい。 |
|---|---|
| 治療方法 | 銀歯を除去した後、ダイレクトボンディング法によりコンポジットレジンを用いて修復した。 |
| 治療期間 | 1回 |
| リスク | 長年使用することによる着色。咬合圧が強い場合破折することがある。 |
| 費用 | 55,000円×2(税込み) |
Blog


















