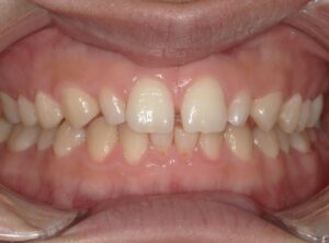
患者さんは20代女性。以前より前歯のすきっぱとその横の歯の大きさが気になるとのこと。
治療の選択肢として、
①右上2番目からは左上2番目までの歯を大きく削りセラミッククラウンで被せる(セラミック矯正)
②歯を削らず、レジンと呼ばれるプラスチックを盛り足して審美修復(ダイレクトボンディング)
この患者さんは治療期間はかかってもいいので、削らずに治したいとのことで、②のダイレクトボンディングで修復することにしました。
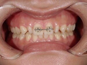
しかし、このまま中切歯(1番前の歯)の隙間を埋めてしまうと歯全体のバランスが不自然になってしまうため、部分矯正で中切歯を少し手前にし動かした後に側切歯(前から2番目の歯)にダイレクトボンディングすることにしました。

矯正治療前

矯正治療中

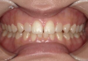
矯正治療終了後にダイレクトボンディングを行いました。
ダイレクトボンディングを行えば歯を大きく削らずに審美治療を行うことができます(^^)/
上の選択肢①のセラミック矯正をすると短期間で治療は終わりますが、歯を大きく削ることになり、場合によっては神経もとったりするため、歯の強度は著しく低下して割れやすくなってしまいます。歯の寿命を考えると②ダイレクトボンディングを選んだ方が賢明だと思います(*^▽^*)
群馬県前橋市の歯科医院 審美歯科 矯正歯科 ダイレクトボンディング
まえばしMI歯科 院長 高橋陽介


