いつもダイレクトボンディングについて書くことが多いですが、
今回は前歯のセラミック治療について書きます。
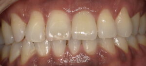
患者さんは30代男性。以前他院で被せた前歯のセラミックの色が気になるとのこと。
前歯を見ると、確かに左上1番(正面からみると右上の前歯)が周りの歯に対して若干暗い色をしてます。

前歯の治療、特に1歯だけのセラミックの色を合わせるのは非常に難易度が高いです
(セラミック矯正のように上下6本ずつ被せる場合は色合わせは比較的簡単です)。
作ってくれる技工士さんは実際に患者さんのお口の中を見ていないため、なかなか合わせるのは難しいです。型どりをした時に写真を撮り送りますが、それでも実際の口腔内と写真では色調に誤差が生じます。
当院では、これといった患者さんの希望が無ければ自然な感じの色合いにさせていただきます。
もちろん希望があれば某野球選手や某ホストのように真っ白にすることもできます(^_-)-☆
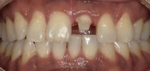
セラミックを外し、一度仮歯に置き換え、型どりを行いました。

型どり時

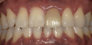
装着後
うーん、わからない(゜o゜)
一発でここまで合うことは非常に珍しいです。
ここまで天然歯に合わせるのには通常少なくとも1,2回は色合わせをしないと合いません。
場合によっては技工士さんに医院まで来てもらい、直接口腔内を見ていただくこともあります。
治療回数:3回(通常は4~5回)
料金:¥132,000(税込み)
興味のある方は当院までお問合せ下さい(^^)/
群馬県前橋市の歯科医院 まえばしMI歯科
院長 高橋陽介


