「前歯の治療はおまかせください!!」
と書いた医院看板を前橋市内に数枚出しました。
この看板をみてSNS上で「前歯専門って書いてあるけど、奥歯は治療してくれないのかな?」と書かれた方がいらっしゃいましたが、もちろん奥歯も治療しております(笑)
私自身開業している歯科医師なので、歯科治療全般やっております。難しい親知らずの抜歯やインプラントもやっております。
ではなぜこのようなことを謳っているかといいますと、私がすべての治療の中で審美歯科治療を最も得意としているからです。
患者さんの希望に合わせて前歯のデザインも変えることができます。
例えばセラミック治療を行うときほとんどの患者さんは、
①白めに治したい
②隣の歯に合わせて自然な感じで治したい
のいずれかの選択をされます。
①の白めを選んだ場合、このような感じになります。
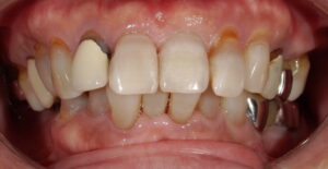
こちらの患者さんは歯の色自体を白くしたいとのこと。もともと上顎右側犬歯~左側犬歯まで不適合の被せ物がされていたため全てやり替えることにしました。


下の前歯と比べて白めですが、6本がきれいにそろっています(^_-)-☆
②の隣の歯に合わせて自然な感じで治した場合
この患者さんは前歯の破折を主訴に来院され、もともとの歯がテトラサイクリン歯(抗生物質による変色)で灰色~紫がかった色をしていました。白すぎず、自然な感じで治したいとの希望があったため隣の歯に合わせて作製しました。


隣の歯にあった色で、自然な感じに仕上がりました。白い線状の模様まで細かく再現されています。(^^♪
「前の歯医者さんで何も説明なく真っ白のかぶせ物を入れられてしまった…」という相談を受けることがよくありますが、当院では必ず前歯の色を決めるときは色見本を合わせながら鏡でもらって決めるのでそのようなことはありません。
どうしても色が合わないときは作ってくれる技工士さんに来てもらい色を合わせます(自由診療のセラミックのみ)
前歯が気になっている方は当院にご相談ください。
群馬県前橋市の歯科医院 まえばしMI歯科
院長 高橋陽介


