当院ではできるだけ歯を大きく削らない治療を心がけているため、
審美治療ではダイレクトボンディングをお勧めすることが多いのですが、
全てがこの方法で改善できるわけではありません。
治せるものとして
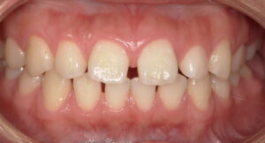
・歯の隙間
・歯の形態(あまり大きくは変えられません)
・古い詰め物
治せないものとして
・歯の色
・歯が重なって並んでいるものや歯の軸(いわゆる出っ歯)
・歯冠の大きな欠損
などがあります。

こんな感じの症例は比較的簡単に治せます。

こんな感じの銀歯もきれいに治せます。
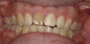
よく、歯が1本だけ灰色に変色しているのを治せませんか?と聞かれるのですが、
これはウォーキングブリーチの適応となります。
それでも改善が見られない場合はセラミッククラウンによる治療が必要となります。

このような症例はまずはウォーキングブリーチをします。
また、たまに芸能人や某野球選手みたいに
(最近の若いアイドルの人などはホワイトニングしたくらいの自然な白さの人が多いですが)
真っ白にしたいという方がいらっしゃいますが、
その場合はセラミックによる治療(ラミネートべニアやセラミッククラウン)が必要になります。

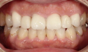
上顎右側犬歯~左側犬歯を若干白めにセラミックで治した症例です。
これ以上の白さを求めるためにはセラミック治療が必要となります。
歯並びのガタガタしたのも治せませんか?と聞かれることもありますが、
これは矯正治療が必要になります。
セラミック矯正という選択肢もありますが、あまりお勧めはできません。

ガタガタしたのは矯正治療を行うのがベストです。
しかし、歯自体の大きさや色は変えられないので
矯正治療後にダイレクトボンディングやセラミック治療を行う場合もあります。
審美的に気になっている方は当院までお問合せ下さい。
群馬県前橋市の歯科医院 まえばしMI歯科
院長 高橋陽介


