昨日もブログに書きましたが、銀歯が気になっている人けっこう多いと思います。
今回の患者さんは50代男性。
前歯をセラミックにした後に奥歯の銀歯が気になるとのこと。
ダイレクトボンディングで白くしました。

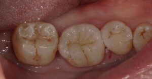
術前:右下5番目と6番目に銀歯が入ってます。

術後:銀歯が白くなりました。
※前後の歯溝に着色が認められたため、ステインを付与してます。そのため真っ白ではなく、自然な仕上がりとしました。
治療回数:1回(約90分)
費用:¥55,000×2
治療後のリスクとしてマージン部の変色や部分的な破折が考えられますが、今回の症例では薄い銀歯が入っており、セラミックで治療するとなると、厚みを持たせるため健康な歯をある程度深く削る必要がありました。
そのため、ダイレクトボンディングが第一選択となりました。
できるだけ大きく削りたくない人にはお勧めの治療法です。
興味のある人は当院までご連絡下さい(^^♪
まえばしMI歯科
院長 高橋 陽介


