当院では初診で来ていただいた患者さんに対してほとんどの場合パノラマエックス線写真を撮影しておりますが、その時に症状はないけど大きな根尖病変が写ってくることが時々あります。
これはあくまでも私の感覚ですが、根尖病変はできやすい人・できにくい人がいます。また、大きくなりやすい人・なりにくい人がいます。
中には大きな病変が2つも3つもある人もいます。
根尖病変は細菌感染によって起こりますが、悪化させる要因には様々なものがあります。初回の根管治療を行った歯科医師の技術、根管の形態、患者さんの口腔内細菌の種類(人によって細菌の種類及びその割合は異なります)、骨質、免疫等色々な原因が考えられますが、おそらく複数の要因が組み合わさって大きな病変を作っていると考えられます。
一般的な治療は抜歯して義歯もしくはインプラントとなります(;´Д`)
しかし、多くの人は抜歯を望まないと思います。
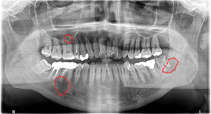
今回の患者さんは大きな病変が2つ、小さい病変が1つありました。

右下6番目と左下8番目の歯にウズラの卵くらいの大きな病変があります。右上6番にも小さな病変があります。

上の写真の赤丸が根尖病変です。
何とか残したいとのことで精密根管治療を行いました。
右下および左下は病変が大きく、根尖まで開けるととてつもない量の膿みが出てきました。
それぞれ4回洗浄を行いやっと膿みが止まりました。
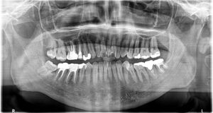
2年後、だいぶ骨ができてきました。

根の先の黒い影がだいぶ小さくなってきてます。
大きな病変があって、抜歯と言われたけどどうしても残したい方はご相談下さい。
※自由診療となります。大臼歯の場合、¥132,000~となります。
まえばしMI歯科
院長 高橋陽介


