いつもダイレクトボンディングの症例をブログに載せてますが、そのほとんどが上顎前歯の正中離開の症例です。
当院のダイレクトボンディング症例ですが、一番多いのは上顎前歯正中離開で次に多いのは臼歯症例になります。
今回はやや珍しい下顎前歯の症例を載せたいと思います。
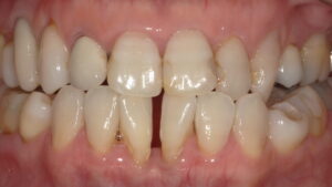
患者さんは50代女性。昔矯正治療をしたが、下の前歯の間が開いてきたことを主訴に来院されました。

術前 下顎前歯の間に隙間があります。

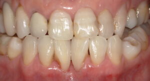
術後 隙間が無くなりました!!
費用:¥88,000(税込)
治療回数:1回(約60分)
何らかの理由があって矯正治療をすることができない場合はこのような治療法もありかと思います。
※この部分は歯石が付きやすいので、必ず定期的にメンテナンスにいらして下さい。放置すると歯が歯周病で揺れて抜けてしまいます(‘◇’)ゞ
興味のある方は当院までご相談下さい。
まえばしMI歯科
院長 高橋 陽介


