前歯の白く濁った所や茶色い部分を治せるかという質問を時々受けます。
白く濁った所が脱灰(ほんとうに初期の虫歯)の場合は食生活を変えたり再石灰化を促すペーストを塗ったりすることで治る場合もあります。
※残念ながら穴が開いてしまっ虫歯はこれでは治りません。
また、歯が出てきたときからあった白濁や茶褐色の部分(エナメル質形成不全)は治りません。
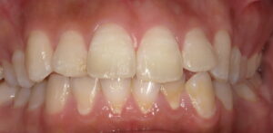
今回の患者さんはエナメル質形成不全で、自然治癒は困難なためダイレクトボンディングを行いました。

上顎両側中切歯および左側側切歯の白斑および茶褐色の部分が認められます。

ダイレクトボンディングを行いました。
費用:¥44,000/本
治療回数 1回
当院では埼玉県や栃木県など遠方からいらっしゃる方の治療も行っております。
当日の治療を希望される方はお電話にてご連絡下さい(^^)/
群馬県前橋市の歯科医院 まえばしMI歯科
院長 高橋陽介


