当院のブログは保存治療や審美歯科に関するものが多いですが、親知らずの抜歯も積極的に行っております。
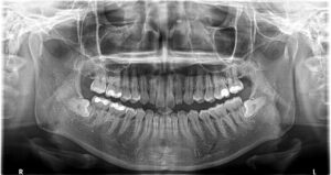
患者さんは20代女性。下の親知らずを抜いてほしいとのこと。

レントゲンを撮ると、左右親知らずが真横に埋まっています。
一般的にはこのような親知らずは大きな病院の口腔外科で行いますが、当院ではこのような親知らずにも対応しております。

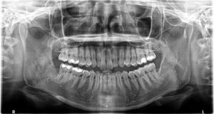
抜歯後レントゲン。左右ともに根の先まで抜けました。
かかりつけの歯科医院に普段通っていて、親知らずのみ当院で抜歯することも可能です。
親知らずが痛んだり、気になっている人は当院までご連絡ください。
群馬県前橋市の歯科医院 まえばしMI歯科
院長 高橋陽介


