「歯医者は通わないといけないから大変」
このように思われている人多いと思います。
確かに歯が全体的にボロボロの人の1,2回で全ての治療が終わってしまえば楽ですよね。
何回もブログで書いていますが、1,2回で終わりにできるようでしたらとっくに終わらせてます(笑)
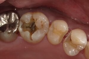
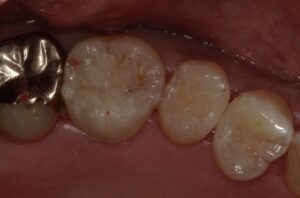
ボロボロの人は回数かかってしまいますが、崩壊していない人の場合はダイレクトボンディングで治療することでだいぶ治療回数を少なくすることはできます。※保険適応外の治療になります。



1日でこのようにきれいに治せます。
自由診療の場合は保険の様な細かい制約が無いので、長時間お時間いただければある程度は進めることができます。
ご希望ある方は当院まで電話でお問合せ下さい
群馬県前橋市の歯科医院 まえばしMI歯科
院長 高橋陽介


