当院のセラミック治療は臼歯部(奥歯)は基本的にはジルコニアという材料でお作りしております。
昔のセラミックの歯はメタルボンドと言って金属のフレームの上にポーセレンという陶材が焼き付けられていましたが、どうしても金属色を遮断するためにオペーク色の材料を敷いていたためクリーム色がかった感じになってしまいました。
現在のセラミックはガラス系セラミック(e.max)やジルコニアなどの金属を用いない材料が主流です。メタルフリーにすることでより審美性を追求することができるようになり、また金属アレルギーを引き起こすリスクもなくなります。

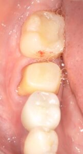
装着前の写真です

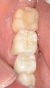
装着後の写真です(第一大臼歯)。白すぎず、自然な感じの仕上がりになります。
※某芸能人のように真っ白にしたい人は、あらかじめ伝えていただければお作りすることもできます(^^♪
通常¥88,000~110,000くらいしますが、当院ではより多くの人に入れてもらいたいと思い¥66,000(税込み)で提供させていただいております。
興味のある方は当院スタッフまでお伝え下さい。(^^)/
群馬県前橋市の歯科医院 審美歯科 セラミック治療 ダイレクトボンディング
まえばしMI歯科 院長 高橋陽介


