奥歯の審美歯科治療に関してですが、
小さな銀歯はダイレクトボンディングで治したほうが歯を削る量が少なくていいですが、大きな銀歯をやり替えるとなると型どりをして固い材料で治したほうが強度的に高く長持ちする傾向にあります。
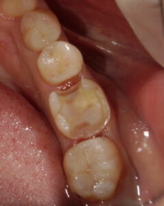
今回の患者さんは30代女性の方で、奥歯の銀歯を白い材料で治したいと希望がありました。

装着前

装着後。
自然な感じで修復することができました。
嚙みこみが深いためジルコニアと呼ばれるセラミックを用いて修復しました。
*プレミアムセラミックアンレー
料金:¥88,000(税込み)
治療回数:2回
治療ご希望の方は当院までお問合せ下さい。
群馬県前橋市の歯科医院 まえばしMI歯科
院長:高橋陽介


