前回はMTAセメントを用いた直接覆髄法に関して書きましたが、
MTAセメントは根管治療にも用いることができます。
今回の患者さんは40代女性。右上奥歯の延長ブリッジをセラミックに変えたいとのことで治療を開始しましたが、根の先に膿が溜まっているのが見つかったため根管治療を行うことにしました。

術前:一見根管治療は十分にされているように思えますが、近心根に破折器具および小さな根尖病変を認めます。

術中:顕微鏡を用いて破折器具は除去できましたが、近心根の根尖は初回の根管治療で大きく削られていました。保険の材料では十分に治療できないと判断し、MTAセメントを用いて根管充填を行うことにしました。

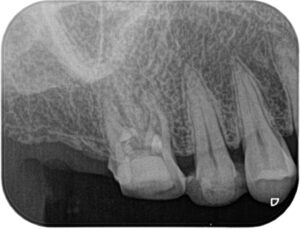
根管充填後:根尖まで緊密にMTAセメントで充填できました。

術後1年:根尖病変は治癒し、再発は認められません。
※MTAセメントを用いた根管治療は自由診療となります(¥88,000~132,000税込)。かぶせ物の料金も別途かかります。
根管治療は再治療の場合の成功率は約70%と言われており、残念ながら100%とはなりませんがこのような材料を用いれば成功率を上げることができます。
群馬県前橋市の歯科医院 まえばしMI歯科
院長 高橋陽介


