前歯のセラミック治療を受けてきれいに治したいけど、セラミックって某野球選手や某ホストの様に白くなりすぎてしまうのではないか?と思ってしまう人もいるようです。
しかし、セラミックと言っても色の種類(シェード)が何パターンかあります。お皿のように真っ白白というわけではありません。さらに、患者さんの歯の細かい色を再現することも可能です。
そのため、隣の歯と同じ色のブロックを選べばそれに近い色で作ることが可能となります。
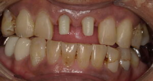
今回の患者さんは40代男性。前歯を自然な感じに治したいとのこと。

仮歯が外れた状態で来院されました。

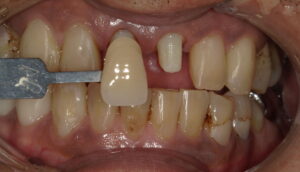
シェードはA4というやや暗めの色を選択しました。
セラミックの材料はジルコニアを選択。

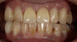
術後:臨在歯とほとんど色が合いました。
治療回数:2回
費用:¥88,000×2本
セラミック治療を受ける人にはとても白くしたいという人と、自然な感じで治したいという人の2通りの患者さんがいます。これは、型を取るときに必ず聞きます。完全に患者さんの好みによります。
「先生にお任せします」という人には自然な感じで作らせていただきます。
色が思ったより明るすぎた場合は、1~2週間お時間いただきますが、暗くすることは可能です。
もし、自然な感じの治療を希望される方は当医院にお任せ下さい<(_ _)>
まえばしMI歯科
院長 高橋 陽介


