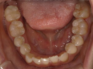
どこを治したでしょうか(^^)?
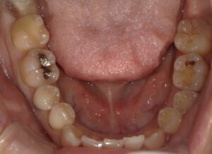
患者さんは40代女性。銀歯や虫歯を全て白い材料できれいに治したいとのことで審美歯科治療を行いました。

治療本数3本
どこだ(?_?)

答え(術前写真):右下6番目、左下6.7番目(鏡を使用して写真を撮っているため左右逆に映っています)
ダイレクトボンディング2本(¥33000×2本 税込み)
セラミックアンレー1本(¥66,000 税込み)
治療回数 3回
いまだに患者さんに説明もなく銀歯を入れる歯科医院があるようですが、当院では必ず説明してから詰め物・被せ物の種類を選んでいただきます。
「銀歯は絶対にやだ!!」という方は当院までご相談ください。
群馬県前橋市の歯科医院 まえばしMI歯科
院長 高橋陽介


