60代男性。左下奥から2番目の銀歯が咬むと痛いことを主訴に来院。
口腔内を診ると、第一大臼歯に大きなアンレー(銀歯)が装着されており、淵の部分のエナメル質が欠けてしまっていました。

保険診療で用いる銀歯は固く、天然歯のほうが負けて欠けてしまい、そこから二次的な虫歯が生じてしまうことがよくあります。
歯に器具をかけると銀歯はすでに浮いており、ポロッととれてきました。幸い銀歯の下にほとんど虫歯はなく、神経までは到達していなかったのでそのまま修復治療を行うことにしました。

欠損が大きいので、一般的にはクラウンで被せて治療することになりますが、できるだけ歯を削らず回数少なく白い材料で治したいという希望があり、ダイレクトボンディングによる修復を行うことにしました。

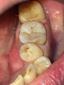
術後写真。臨在歯に色調を合わせ咬合面にもステインを付け自然な感じに修復しました。
(ステインについては真っ白に修復したいという方も多いので、患者さんと相談して付けるかどうか決めています)
治療回数:1回(約60分)
かなりマニアックな治療法ではありますが、当院では条件によりますがこのような治療法を選択することもできます。
※自由診療(¥55,000~66,000税込)となります。
※材料の強度を考えるとゴールドやセラミックのほうが高くなります。
※咬合力が非常に強い場合は適応外になります。
興味のある方は当院までご連絡ください。
群馬県前橋市の歯科医院 虫歯治療 レジン治療 ダイレクトボンディング
まえばしMI歯科 院長:高橋陽介


