Q1アマルガムって体に悪いものなの?
アマルガムとは、銀・水銀・錫(スズ)などを混ぜた合金で、一昔前まで日本でも虫歯治療に使われておりました。
*水銀が含まれますが、有機水銀ではなく中毒を起こすことはありません。
しかし、今では金属アレルギーの原因となる場合もあり、世界的に使用されない方向になりつつあります。
また、不定愁訴(ふていしゅうそ)の原因となる可能性もあると言われています。
話をまとめますと、
大部分の人にとっては体に害を及ぼしませんが、一部の人に対しては悪さをすることがあります。
Q2口の中にアマルガムが入ってます。外した方が良いのでしょうか?
口腔内にアマルガムが入っているからといって、問題になるとは限りません。むしろ問題にならないことのほうがほとんどです。
二次的な虫歯になったり、審美的に気になったり、金属アレルギーの症状が無ければ必ずしも外さないといけないというわけではありません。
Q3除去は保険でもできますか?
虫歯や金属アレルギーがあればできます。審美目的ではできません。
除去したあとは通常コンポジットレジンで修復します。欠損が大きい場合はインレーもしくはクラウンで修復する場合もあります。極力金属は使用しない方向で治します。
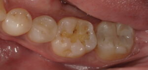
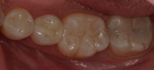
アマルガムをダイレクトボンディングで治した症例を紹介します。
患者さんは50代男性。アマルガムの周囲に二次的な虫歯が認められ、審美的な治療を希望されたためダイレクトボンディングで修復しました。

術前:アマルガムの脇から二次的な虫歯が認められます。

術中:アマルガムと虫歯を除去しました。

術後:ダイレクトボンディングで治しました。
治療ご希望の方、興味のある方は当院までご連絡下さい(*^-^*)
群馬県前橋市の歯科医院 まえばしMI歯科
院長 高橋陽介


