ダイレクトボンディングの相談に来ていただく方が年々増えていますが、どんな歯にもできるのでしょうか?
結論から言うと、過度の咬合力がかからない部位にはほとんどできます。
逆にできない部位はつまり咬む力が強くかかる部位になります。また、セラミックや金属などの歯に接着させるのは困難なため(接着が弱いため)適応とはなりません。
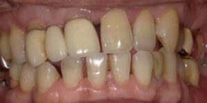
今回の症例は下顎前歯部です。
患者さんは50代男性。下の前歯の隙間が以前から気になっているとのこと。

下顎前歯部に空隙が認められます。右下1,2番目の間と2,3番目の間が気になるとのことでした。

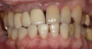
気になる部分のみダイレクトボンディングで修復しました。
患者さんにより気になる部位は異なります。また予算も異なります。
希望のある部位のみ修復することが可能な治療です。
興味のある方はご連絡下さい(^^♪
群馬県前橋市の歯科医院 まえばしMI歯科
院長 高橋陽介


