「前歯が茶色いのが気になる」
「前歯の白濁した色が気になる」
このような悩みをお持ちの方けっこういらっしゃるのではないでしょうか?
軽度の変色でしたらダイレクトボンディングで1日で審美修復することも可能です。
※ホワイトニングで白くならないかと相談を受けることもありますが、ほとんど変わらない場合が多いです。
※神経をとった歯で、灰色に変色している場合はウオーキングブリーチと呼ばれる歯の中に薬剤を入れる方法やセラミック治療が必要となります。
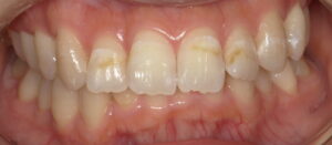
今回の患者さんは20代女性。歯が出てきたときから前歯に茶色い模様があり気になるとのこと。

エナメル質形成不全と呼ばれる状態で、歯に茶色い模様や白濁が見られます。
患者さんは茶色い部分を自然な感じに白くしたいとの希望でダイレクトボンディングを受けられました。

術後:歯の茶色い部分が自然な感じで白くなりました。
治療したのは右上2番目、左上1・2番目の歯です。右上1・3番目、左上3番目の歯はそこまで気になっていないとのことで白濁はそのままにしてあります。
治療回数:1回
料金:¥99,000(¥33,000×3本)
このようなお悩みをお持ちの方は当院までご相談下さい(^^♪
群馬県前橋市の歯科医院 まえばしMI歯科
院長 高橋陽介


