「歯科医院に定期健診通ってたのに急に歯が痛くなり、行ったら虫歯って言われた。通院していたのになんでわからなかったの?」
といった話を時々耳にします。
定期健診に通っていれば虫歯は100%見つけられるのでしょうか?
実際には、頑張って精査しても99%くらいです。
定期健診に通院していても全ての虫歯を直ちに発見できるわけではありません。
むし歯は大きくなるのに通常年単位かかります。そのため、ある程度の大きさにならないと穴も開きませんし、痛みも出ません。
しかし、治療が必要な大きさになったもののほとんどは以下の条件で見つけることができます。
①歯科医師がチェックする。
②レントゲン撮影を定期的(半年~数年に1回)に行う。
これを行うことで虫歯のほとんどは見つかります。
逆に言えば、タイトルのようなことが起こるほとんどは①、②がなされてない場合です。衛生士が歯石取りをして終わりという歯科検診では不十分です。
実際の症例はこんな感じです。

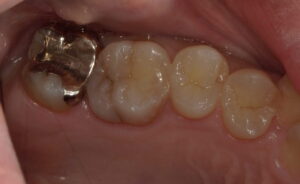
20代男性。検診希望で来院されました。上顎左側第一大臼歯遠心がなんとなく黒ずんでいます。

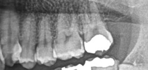
レントゲン撮影を行ったところ、大きな虫歯が出てきました。

赤い部分が虫歯です。

虫歯を全てとりきったところです。神経ギリギリまで進行していました(゜o゜)

レジン充填を行いました。
それでも、見つけるのが困難な虫歯もあります。
詰め物の下に隠れている虫歯や叢生(歯が重なって生えている)のところにできてしまった虫歯は歯科医師も見つけるのが困難だったりレントゲンにも映らないことが多々あります。
実際にはこのような虫歯が痛くなって来る患者さんはそれほど多くはありません。レアなケースと言ってもいいでしょう。
多くの人が毎年健康診断を受けていますが、それでも悪性腫瘍、心筋梗塞、脳卒中になる人は必ずいます。残念ながらどう頑張っても医療は100%上手くいくという保証はありません。
※当たり前ですが、受けたほうが早期発見・早期治療できる確率は高いので絶対に受けたほうが良いです。
歯科検診も定期的に受診することをお勧めします。
※地方自治体が行っている¥500の検診では十分な検査はできません(当院では受け付けておりません)。健康保険を用いて受診した方が良いかと思います。
まえばしMI歯科
院長 高橋陽介


